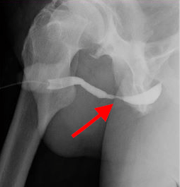
Scar tissue causing obstruction
A urethral stricture is scar tissue causing obstruction to urinary flow. It can be caused by having had a urethral catheter, urethral surgery, or pelvic trauma (such as a pelvic fracture), but often there is no obvious cause.
 
Urethral stricture often results in having to go to the toilet more often as one is unable to empty one's bladder properly. At its most severe it can cause urinary infection and complete blockage of the urethra.
 
A urethral stricture can be treated with an Optical Urethrotomy: a minor procedure is done under general anaesthetic using a camera. The scar tissue is cut internally, opening up the urethra to its normal calibre.
Urethral dilatation under local or general anaesthetic is also an option but is unlikely to provide long-term relief. In some patients, however, this is the best option.
 
What happens if the urethral stricture recurs? 
See Urethroplasty.




